
Конкурс атауы: 2024-2026 жылдарға арналған ғылыми және (немесе) ғылыми-техникалық жобалар бойынша гранттық қаржыландыруға арналған конкурс.
Жоба жетекшісінің: Тлебалдинова Айжан Солтангалиевна, PhD, қауымдастырылған профессор.
Идентификаторлары:
- Scopus Author ID 56825933500 (https://www.scopus.com/authid/detail.uri?authorId=56825933500),
- ORCID: 0000-0003-1271-0352 (https://orcid.org/0000-0003-1271-0352),
- Mendeley.
Жобаның зерттеу тобы
| № | ТАӘ | Жоба бойынша лауазымы | Сәйкестендіргіштері (Scopus Author ID, Researcher ID, ORCID, егер бар болса) және тиісті бейіндерге сілтемелері | |
|---|---|---|---|---|
|
1. |
Тлебалдинова Айжан Солтангалиевна
|
Жобаның ғылыми жетекшісі (бас ғылыми қызметкер) |
Scopus Author ID: 56825933500 (https://www.scopus.com/authid/detail.uri?authorId=56825933500), |
|
|
2. |
Смаилова Сауле Сансызбаевна |
Жетекші ғылыми қызметкер |
Scopus Author ID: 55645191800 (https://www.scopus.com/authid/detail.uri?authorId=55645191800), |
|
|
3. |
Кумаргажанова Сауле Кумаргажановна |
Жетекші ғылыми қызметкер трудник |
Scopus Author ID: 568262045000 (https://www.scopus.com/authid/detail.uri?authorId=56826204500), |
|
|
4. |
Казанцев Иван Гаврилович |
Жетекші ғылыми қызметкер |
Scopus Author ID: 70043946600 (https://www.scopus.com/authid/detail.uri?authorId=7004394660), |
|
|
5. |
Zbigniew Omiotek
|
Жетекші ғылыми қызметкер |
Scopus Author ID 55793789400 (https://www.scopus.com/authid/detail.uri?authorId=55793789400), |
|
|
6. |
Балбосынов Багдат Ерсаинович |
Аға ғылыми қызметкер |
Scopus Author ID 57995664100 (https://www.scopus.com/authid/detail.uri?authorId=57995664100), |
|
|
7. |
Карменова Мархаба Ахметоллиновна |
Ғылыми қызметкер |
Scopus Author ID 57217096947 https://www.scopus.com/authid/detail.uri?authorId=57217096947), |
|
|
8. |
Сыдыкова Айжан Мукатаевна |
Кіші ғылыми қызметкер |
- |
|
| Жас ғалымдар (40 жасқа дейін + оқытушылар (студенттер, магистранттар)) | ||||
|
|
ТАӘ |
Жоба бойынша лауазымы |
Сәйкестендіргіштері (Scopus Author ID, Researcher ID, ORCID, егер бар болса) және тиісті бейіндерге сілтемелері |
Ескерту (ПОҚ, студент, магистрант, докторант) |
|
1 |
Танкибаева Акерке Кыдырбековна |
Кіші ғылыми қызметкер |
ResearcherID Web of Science: JPX-1262-2023 (https://www.webofscience.com/wos/author/record/52025690), |
докторант |
|
2 |
Құмарқанова Ақбота Серікқызы |
Программист |
ORCID: 0000-0003-0517-2445 (https://orcid.org/0000-0003-0517-2445). |
ПОҚ |
|
3 |
Глинский Иван Николаевич |
Программист |
- |
магистрант |
Жобаның аңдатпасы
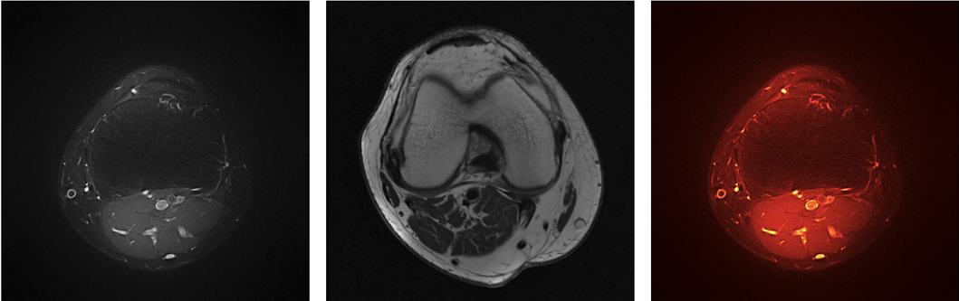
Зерттеу тақырыбы өзекті болып табылады, өйткені МРТ кескіндеріндегі анатомиялық құрылымдарды автоматты түрде көрсету үшін жасанды интеллект технологияларын пайдалану ортопедиялық хирургтар арасында хирургиялық араласу қажеттілігі туралы шешім қабылдау процесін айтарлықтай жақсарта алады. Бұл сонымен қатар медициналық қателіктердің болуының ықтималдығын азайтуға ықпал етеді. Осылайша, мениск зақымдануының ауырлық дәрежесін бағалау мен диагностикалау дәлдігін жоғарылатуға қол жеткізіледі, сайып келгенде бұл жағдайды сәтті және сапалы емдеуге әкеледі.
Зерттеудің мақсаты компьютерлік диагностикалық жүйелердің тиімділігін жақсарту үшін МРТ кескіндеріндегі анатомиялық құрылымдарды талдау және тану үшін жетілдірілген үлгілер мен әдістерді әзірлеу болып табылады.
Бұл зерттеуді орындауда МРТ кескіндерін өңдеу және талдау, машиналық және терең оқыту әдістері мен үлгілері, бағдарламалық жасақтаманы прототиптеу, бағдарламалық жасақтаманың прототипін тестіден өткізу сияқты негізгі тәсілдер қолданылады.
Күтілетін нәтижелер:
- тізе буынының аннотацияланған МРТ кескіндерінің жиынтығы;
- МРТ кескіндерін өңдеудің және сапасын жақсартудың математикалық үлгілері;
- тізе менискінің зақымдануын тану алгоритмдері мен үлгілерінің жиынтығы;
- тізе менискінің зақымдануын МРТ арқылы диагностикалаудың бағдарламалық жасақтамасының прототипі.
Жобаның соңғы нәтижесі – тізе буынының менискінің зақымдануын МРТ диагностикалауға арналған, МРТ кескіндерін жылдам және дәл өңдеуді және талдауды қамтамасыз ететін, тәжірибесі аз мамандарға медициналық шешім қабылдауға көмектесетін бағдарламалық жасақтаманың прототипі.
Зерттеу нәтижелерінің практикалық маңыздылығы диагностикалық дәлдікті арттыруда, қателер мен жалған оң нәтижелерді азайтуда, сырқаттарды ерте анықтауда, тексеру процесін оңтайландыруда және емдеу мекемелерінің тиімділігін арттыруда болып табылады.
Негізгі күтілетін әлеуметтік-экономикалық әсер. Зерттеу шеңберінде Қазақстан өңірлері бойынша соңғы 10 жыл ішінде тізе буынының менискілері зақымданған науқастардың МРТ және артроскопия деректері жинақталатын болады.
Әзірленген үлгілер мен әдістер әртүрлі анатомиялық құрылымдарды тануға мүмкіндік береді, бұл олардың диагностикалық тапсырмаларда кеңінен қолданылуын қамтамасыз етеді.
Зерттеу мақсаты компьютерлік диагностикалық жүйелердің тиімділігін жақсарту үшін МРТ кескіндеріндегі анатомиялық құрылымдарды талдау және тану үшін жетілдірілген үлгілер мен әдістерді әзірлеу болып табылады...
Жобаның күтілетін нәтижелері және алынған нәтижелері:
| Жылы |
Зерттеу бойынша алынған нәтижелері. |
|---|---|
|
2024 жыл |
1) Қазақстан өңірлері бойынша соңғы 10 жылда тізе буынының менисктері зақымданған пациенттердің МРТ және артроскопия деректері жиналды («Академик Н.Д.Батпенов атындағы Ұлттық Травматология және ортопедия ғылыми орталығы»). 2) МРТ кескіндердің санын, оларды визуализациялау режимдерін, кесінділердің тереңдігін және басқа параметрлерді анықтау процесін автоматтандыратын, сондай-ақ деректерді 2D форматқа экспорттауды және оларды визуализация режимдеріне сәйкес бумалар бойынша сұрыптауды орындайтын алгоритм әзірленді. Нәтижесінде бұл деректердің барлығы Excel файлына автоматты түрде енгізіледі. 3) МРТ кескіндерді өңдеудің технологиялық тізбегі әзірленді, ол келесі кезеңдерді қамтиды: зерттеу және талдау, өңдеу, тіркеу, қызығушылық аймағын кадрлау, суреттердің сандық сипаттамаларын талдау және алу. 4) Кескіндерді өңдеудің математикалық модельдері жасалды. 5) ҚР ҒжЖБССҚЕ ұсынған журналда 1 мақала жарияланды: Танкибаева А.К., Кумаргажанова С.К., Тлебалдинова А.С. «Обзор методов коррекции неоднородности интенсивности магнитно-резонансных изображений» / Торайғыров университетінің хабаршысы. № 4(2024), 2024. 332-344 б. |
|
2025 жыл |
Тізе буынының зақымдалған менискаларын белгілейтін аннотацияланған кескін базасы дайындалады. Жүргізілген эксперименттік зерттеулердің нәтижелері халықаралық конференцияда баяндалады, оның материалдары бойынша 1 мақала ұсынылатын болады. Тізе менискінің зақымдануын танудың жетілдірілген модельдері мен әдістері жасалады. 1) Web of Science дерекқорының Science Citation Index Expanded индексіне енетін және (немесе) Scopus дерекқорындағы CiteScore бойынша процентилі кемінде 65 (алпыс бес) болатын рецензияланатын ғылыми басылымда жариялауға 1 мақала қабылданды: Tlebaldinova A., Omiotek Z., Karmenova M., Tankibayeva A., Kumargazhanova S., Smailova S., Kumarkanova A., Glinskiy I. «Comparison of Modern Convolution and Transformer Architectures: YOLO and RT-DETR in Meniscus Diagnosis» Manuscript ID: computers-3801959 / Computers (Процентиль 84). 2) ҚР ҒжЖБССҚЕ ұсынған журналдарда 3 мақала жарияланды: Тлебалдинова А.С., Карменова М.А., Кумаргажанова С.К., Смаилова С.С. «Разведочный анализ МРТ изображений для улучшения качества медицинской визуализации и диагностики» / ҚарТУ университетінің еңбектері. №2 (99), 2025. 378-385 б. Құмарқанова А.С., Тлебалдинова А.С., Танкибаева А.К., Карменова М.А., Кумаргажанова С.К. «Сүзгілеу және сапаны бағалау негізінде МРТ кескіндерін өңдеудің кешенді тәсілі» / Д. Серікбаев атындағы ШҚТУ хабаршысы. №2 (99), 2025. 153-162 б. Сыдыкова А.М., Женис С.М., Кумаргажанова С.К., Тлебалдинова А.С., Нурсадыкова Р.К. «Автоматическая классификация стадий эмбрионального развития на основе методов машинного обучения.» / Шәкәрім университетінің хабаршысы. Техникалық ғылымдар сериясы. 2025;(2(18)):128-137. 3) ҚР ҒжЖБССҚЕ ұсынған журналға 1 мақала дайындалып ұсынылды: Кабдрахманова З.Г., Тлебалдинова А.С., Карменова М.А., Кумаргажанова С.К., Карымсакова И.Б. Применение текстурного анализа при классификации медицинских изображений / Азаматтық авиация академиясының хабаршысы. Мақала жариялауға қабылданды (шығарылуы болжанған күні – 3-шығарылым, 2025 жылғы қыркүйек). 4) Халықаралық конференциялар еңбектер жинақтарында 3 мақала жарияланды: Глинский И.Н., Кумаргажанова С.К., Құмарқанова А.С., Танкибаева А.К. «Обзор существующих методов и алгоритмов распознавания повреждений коленного мениска на МРТ изображениях» / Жастар шығармашылығы – Қазақстанның инновациялық дамуына: профессор Күлсейітов Жеңіс Оразханұлының 80 жылдығына арналған студенттер, магистранттар, докторанттар және жас ғалымдардың ХІ Халықаралық ғылыми-техникалық конференциясының материалдары, 10, 11 сәуір 2025 ж. – Өскемен: ШҚТУ, 2025. 41–45-бб. Кабдрахманова З.Г., Тлебалдинова А.С., Карменова М.А. «Применение эффективных методов фильтрации и оболочек для извлечения текстурных признаков изображений» / «Жасанды интеллект саласындағы зерттеулер мен әзірлемелер» халықаралық ғылыми-практикалық конференциясының жинағы. Өскемен: С.Аманжолов атындағы ШҚУ «Берел» баспасы, 2025. 68–73-бб. Tankibayeva A., Kumargazhanova S., Smailova S., Tlebaldinova A. «Modern approaches to intensity inhomogeneity correction in magnetic resonance imaging: a review of methods» / Wilga Symposium 2025 халықаралық ғылыми симпозиумы, 3–4 шілде, Люблин, Польша. |
|
2026 жыл |
Тізе менискінің зақымдануын МРТ диагностикалау бағдарламалық құралының прототипі әзірленеді. Жүргізілген эксперименттік зерттеулердің нәтижелері халықаралық конференцияда баяндалады, оның материалдары бойынша 1 мақала ұсынылатын болады. Бағдарламалық қамтамасыз етудің прототипін тестілеу бойынша жұмыстардың барлық кезеңдері жүргізілетін болады. Web of Science базасында импакт-фактор бойынша 1 (бірінші) және (немесе) 2 (екінші) квартильде индекстелетін және кіретін және (немесе) Scopus базасында кемінде 65 (алпыс бес) CiteScore бойынша процентилі бар рецензияланатын ғылыми басылымға 1 мақала ұсынылатын болады |
Инфографика (фотосуреттер мен суреттер)
Соңғы өзгерістер күні:15.08.2025


